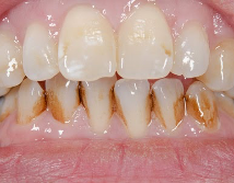
Mes dents sont tachées, que faire ?
Comment agir contre l’effet de ces substances qui colorent fréquemment le tartre, les dents mais aussi les restaurations dentaires à base de résine, et entraînant un aspect très disgracieux de la dentition ?
Si la meilleure solution est sans doute l’élimination de la substance colorante, reste, qu’en général, une bonne hygiène bucco-dentaire quotidienne, des détartrages réguliers associés à un aéropolissage des dents permettent de remédier à ce problème. Attention toutefois, à ne pas utiliser un dentifrice trop abrasif qui peut rayer la surface des dents et accélérer indirectement l’apparition de nouvelles colorations.
Si la couleur générale de vos dents reste soutenue malgré un détartrage minutieux, votre praticien pourra vous proposer la réalisation d'un éclaircissement complet.
Si ces taches correspondent à des petits défauts de l’émail (taches blanches et/ou brunes), votre chirurgien-dentiste pourra vous proposer la technique d'érosion-infiltration, qui permet de faire disparaitre les taches.

Face à des dents colorées, tachées ou noircies, des solutions existent. Demandez conseil à votre chirurgien-dentiste !
Je ne veux pas d’amalgame, peut-on me proposer une solution plus esthétique ?

Dans certains cas, il est possible de remplacer les amalgames par des restaurations esthétiques. par des résines composites ou par une couronne, en fonction de la perte de dent.
Différentes techniques peuvent être envisagées en fonction de l’importance de la carie :
Si elle est de petit volume, votre praticien pourra réaliser directement son composite pendant la séance.
En revanche, pour les caries volumineuses qui fragilisent la dent, il est préférable de fabriquer une pièce prothétique en céramique (inlay, onlay ou overlay) à partir d’une empreinte de la cavité.
J'ai une dent dévitalisée qui noircit. Y a-t-il une solution pour l'éclaircir ?
Si la dent n’est pas trop délabrée, votre chirurgien-dentiste pourra vous proposer d'effectuer un éclaircissement interne de la dent. Cette technique permet d’éclaircir la couleur interne de la dent afin de leur redonner éclat et brillance à l'émail des dents.

Les dents dévitalisées ou déjà traitées avec des amalgames relèvent de traitements spécifiques.
NOS CONSEILS
- Mieux vaut prévenir que guérir : l'élimination de la substance colorante aussi souvent que possible représente encore la meilleure solution contre les taches.
- Si vous êtes sujet aux colorations dentaires, évitez d’utiliser un dentifrice abrasif qui risquerait de rayer la surface des dents et d’accélérer indirectement l’apparition de nouvelles colorations.